Prof. Dr. Çağlar Çuhadaroğlu, (d. 1969, Sivas), Türk Göğüs Hastalıkları ve Uyku Bozuklukları uzmanı. İstanbul Üniversitesi Tıp Fakültesi'nden mezun oldu.
Sigaranın başlıca faktörlerden biri olduğu akciğer kanseri, kansere bağlı ölümlerde birinci sırada yer alıyor. Oysa erken evrede yakalandığında hastalığın tedavi şansı ve yaşam beklentisi yükseliyor.

Akciğer kanseri yapısal olarak normal ciğer dokusundan olan hücrelerin kontrol dışı çoğalarak akciğer içinde bir kitle (tümör) oluşturmasıdır. Bu kitle oluşurken buradan kopan hücreler kan ile vücudun başka yerlerine gidebilirler. (Metastaz) Tüm kanserlerin yüzde 12-16’sı akciğer kanseridir. Erkeklerde en sık görülen kanserdir. Kadında da ne yazık ki yıllar içinde artmaktadır.
Her tür tütün risk faktörüdür. (Sigara, puro, pipo ) Otuz yıl süreyle günde 1 paket sigara içenlerde, içmeyenlere göre risk 20 kat fazla. Ailede öykü varsa bu risk daha da artar. Tütün o denli risklidir ki diğer riskler ( mesleki, çevre...) çok geride kalır.
Özel bir belirtisi yoktur. Uzamış öksürük , balgamda kan görülmesi, giderek artan nefes darlığı, göğüs ağrısı, iştahsızlık, halsizlik, kilo kaybı.... sık görülür. Bazen kitle santimetrelere ulaşmasına rağmen belirti vermeyebilir. Bu nedenle sigara içenlerde bu belirtiler olduğunda uyanık olmak gerekir.
Sigara içenlerde belirti olmasa da yıllık kontroller erken saptamada yardım sağlar.
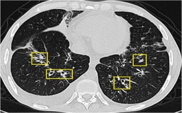
Önce şüphelenmek gerekir. Ardından görüntüleme yapılır. Radyolojik incelemelere Akciğer grafisi ilk basamaktır. Ardından Bilgisayarlı tomografi ve PET/ BT gelir. Burada kitle görüldüğünde bronkokopi ile tanı konulur. Bronkokopi yetmez yada ulaşamazsa dışarıdan iğne ile biyopsi alınır. Buda tanıya katkı sağlamaz ise Cerrahi olarak biyopsi alınır.
“Bilgisayarlı tomografi normal grafilere göre daha fazla ışın verirler” sözü sık söyleniyor. Hatta 400 kat fazla ışından söz ediliyor. Bu bilgi 20 yıl önceki cihazlar için doğrudur. Çağdaş cihazlar hatta FORCE BT modelleri normal grafilere yakın ışın vererek çalışıyorlar. Tomografinin normal grafiye göre daha detaylı olduğu unutulmamalıdır.
“Akciğerden parça almak tehlikelidir.” “Akciğerden parça alınınca tümör sıçrar”. Akciğerden parça alınınca kanama ve akciğerin sönme riski vardır. Ancak bunu yapan hekimler bu az görülen sorunlara hazır olarak yaparlar. Yaşamı tehdit etmeden müdahale ederler. Son yıllarda 1 -2 cm bir delik açarak tüm akciğerden büyük örnekler almayı sağlayan yöntemler ( tek port torakoskopi) gelişmiştir.
Akciğer kanserinde erken tanı henüz lenf bezlerine yada başka organlara atlamadan kanseri yakalamak demektir. Bu yüzden sigara içenlerin düzenli göğüs hastalıkları kontrolü hastaya erken tanı koyma şansı verebilir. Buna rağmen bile daha tanı koyarken birçok hastada lenf bezi tutulumu olduğu görülmektedir.
Erken evrede cerrahi ön planda iken, daha ileri evrelerde kemoterapi ve radyoterapi yapılmaktadır. Bir çok hastada 3 yöntem birliktedir. Her geçen gün tedavi olanağı artmaktadır. Hedefe yönelik tedaviler, immünolojik yaklaşımlar, daha az zararla çalışan radyoterapi cihazları hastaya farklı olanaklar sunar.
Astım alt hava yollarının kronik iltihabi bir hastalığıdır. Bu iltihap alerjiye veya sık geçirilen enfeksiyonlara bağlı olabilir. İltihab havayolu içindeki zarı (mukoza) şişirir hava yolu duvarındaki kası kasar ve hava yolu içine yapışkan bir salgı ( balgam) salgılatır.
Tüm bunlar hava yollarını aşırı duyarlı yapar.

Normal insanın karşılaştığı dış etkenlerle karşılaştığında reaksiyon gösteren ( öksürük, hırıltı, göğüste sıkışma) kişilere hava yolu aşırı duyarlılığı olanlar denilir. Bu astımda olur. Kroniktir. Bazı insanlarda da virütik infeksiyonlar sonrası geçici hava yolu duyarlılığı gelişir.
PArfüm, egzos dumanı, kızartma kokuları….. duyarlı insanları etkiler.
Astım kalıtsal bir hastalıktır. Ender olarak aile öyküsü yoktur. Kalıtsal olma nedeni astımın sıklıkla alerji nedeni ile olmasıdır. Alerji genetiktir.
Çevresel nedenlerde astım yapar.
Alerji kalıtımı olan birisi alerjisi olduğu maddeyle karşılaşırsa astım bulguları ortaya çıkar.
Nefes darlığı
3 haftadan uzun süren öksürük
Göğüste ıslık sesi - hırıltı
Göğüste tıkanıklık hissi.
Aataklar halinde gelmekte olup özellikle geceleri uykudan hastayı kaldırır Ataklar arasında hasta genelde rahattır. Ağır hastalarda darlık sürekli olabilir.
Astımlı hasta öksürüğü oldukca kurudur. Zaman zaman çıkınca rahatlatan yapışkan balgam olur. Bazı hastalarda astım saedece öksürük ile seyreder diğer bulgular olmaz.
Astım atağında genelde tetiği çeken bir faktör vardır. Altta yatan temel neden çoğu hastada alerji olmakla beraber en sık olarak enfeksiyonları takiben hastalarda astım ataklarına rastlanır. Astım atağında havayollarında var olan iltihap daha da artarak hava yollarını iyice daraltır. Havayollarında balgam üreten hücrelerin salgısı artar ve balgam tıkaçları oluşarak hava yollarını tıkar. Ayrıca hava yollarının etrafında var olan kas lifleri kasılarak var olan patolojinin daha da artmasına ve hava yollarının daha da daralmasına neden olur.
Ev tozu akarları
Çimen, ağaç, hububat polenleri
Küfler
Hamam böcekleri
Kedi, köpek, kuş tüyleri
Nezle grip gibi enfeksiyonlar
Sigara dumanı, odun, kömür dumanı, tezek yakma, parfüm, saç spreyleri, yemek, boya kokuları gibi aşırı kokular, otomobil içerisindeki kokular, sis ve hava kirliliği
Psikolojik faktörler
Egzersiz
Aşırı rutubetli iklim
Hava ve mevsim şartlarında değişim
Gülme, ağlama gibi ani sık nefes alışverişini gerektiren manevralar
Mesleki faktörler
Hekimin aldığı öykü ve muayenesi çok önemlidir.
Hastada solunum testi yapılarak hava yolu duyarlılığı anlaşılır.
Alerji testi yapılarak da alerjinin etkeni saptanır.
Alerji testi cilt ve kanda yapılabilir.
Hekimler vücut içini doğrudan görüntülemek için kullandıkları yönteme “Endoskopi” adını verirler. İçeriye görmek anlamına gelen bu yöntemler tanı koymada sık tercih edilir. Hava yoluna uygulananına ”Bronkoskopi” (hava yolu görüntüleme),mide için olana “Gastroskopi”, kalın barsak için olana “Kolonoskopi”… denilir.

Akciğer filminde (düz grafi, bilgisayarlı…) nedeni açıklanamayan bir görüntü olduğunda tanı koymak için örnek almak gerekir. Balgam çıkartan hastada önce balgam incelemesi kullanılabilir. Ancak çoğu zaman yeterli olmaz, bu durumda bronkoskopi ile hava yolu görüntülenir ve içindeki ince kanaldan sıvı kullanılarak sorunlu yer yıkanır, geri alınan sıvı (serum) incelenerek tanı konulur. Gözle şüpheli bir yer görünürse ince iğneler ya da maşalarla milimetrik doku parçaları alınır.
Akciğerde infeksiyon (iltihap) olanlarda tedaviye yanıt yoksa ve yeterli balgam alınamıyorsa örnek almak için kullanılır. Tedaviye geç yanıt veren ya da tedaviye rağmen akciğer filmi düzelmeyen olgularda da yapılabilir.
Bu sorunun nedeni bazen bir kitle, bazen yabancı cisim( kalem kapağı, boncuk), sert bir balgam tıkacıdır. Bronkoskopi hem tanıda kullanılır hem de özel uygulamalar ile tıkayıcı sorun bertaraf edilir.
Öksürükle kan gelmesi, bronkoskopinin en çok kullanıldığı yerdir. Nereden kan geliyor? Miktarı nedir? Anlamak için kullanılır. Kanama alanı belirliyse bronkoskopi sırasında tedavide yapılabilir.
Uç biyopsi ile akciğer dokusundan biyopsi alınır.
Kalem kapağı, türban iğnesi, balık kılçığı, taneli yiyecekler, silgi… hava yoluna kaçabilir. Bu özellikle küçük çocukta ölümle bile sonlanabilir. Tüm hava yolu değil de sadece bir kısım hava yolu tıkandı ise bronkoskopla çıkartılır.
Bronkoskopi oturarak ya da yatarak yapılabilir. Burun ya da ağızdan uygulanabilir. Bronkoskopi için en uygunu 8 saat açlıktır. Tok karnına yapmak risklidir. Hasta işlem sırasında kusabilir. Boş midede kusma olasılığı çok düşüktür. Hastanın alması gereken ilaçlar varsa hekim onayı ile almalıdır.
Bronkoskopi öncesinde giriş yeri (ağız veya burun) spray ile uyuşturulur. Böylece aygıtın yaratacağı nahoş his ortada kalkar. Hastaya işlem yatarak yapılacaksa işlem sırasında rahatsız olmaması için yatıştırıcı yapılır. Bu hastayı 15-20 dakika uyutur. Narkoz değildir. Sadece hastayı hafif uyutan bir uygulamadır.
Bronkoskop 5-7 mm çapında bir aygıttır. İçinde 1-2 mm lik ışık, kamera ve işlem kanalları vardır. Elastiktir.
Hekim önce ses tellerine bakar ve sonra hava yoluna gider. Burada yeniden uyuşturma yapar ve işlemi sürdürür.
Hazırlığı yaklaşık 10 dakikadır. Aygıt hastaya temas ettikten sonra sadece bakma işlemi 8-10 dakika sürer. Lavaj (sıvı ile örnek alma) ve biyopsi yapılacaksa bunun için ek olarak 10-15 dakika gerekir.
İyi bir hazırlık (premedikasyon) sorunları azaltır.
Ancak işlem başlarken hafif bulantı, öksürük olabilir. Bazı olgularda nefes darlığıda gelişir. Boğaza pirinç tanesi kaçmış gibi bir histir.
Bronkoskop hava yolunun ¼ ‘ü kadardır. Yani nefes darlığı sadece bir histir.
Gerçekte solunumu bozacak bir daralma olmamaktadır. İşlem sırasında, kalp ve oksijen sürekli takip edilir. Üstelik hastaya ek oksijende verilir. Ciddi nefes darlığı olan olgularda bronkoskopi kararı yapılan ön testlerle verilmelidir.
Hasta işlem sonrası en az 30 dakika dinlendirilir.2 Saat daha yemek yememesi istenir. Yine 4 Saat süre ile araç kullanmamalıdır(rahatlatıcı ilaçların etkisi nedeni ile).Biyopsi alınan bazı olgularda ilk saatlerde balgamda hafif kan görülebilir.
Bronkoskopi öncesi hangi tetkikler yapılır?
İşlemden önce akciğer filmi, elektrokardiyografi, kanama pıhtılaşma testleri ve solunum testi yapılır. Elde yeni yapılmışları varsa gerekmeyebilir. Her hasta için ayrı yaklaşım yapılır.
Bronkoskopide ciddi riskler (kanama, akciğer sönmesi) % 5’in altındadır. Bunların yaşamı tehdit etme riski ise binde oranlarla anlatılır.
İşlem öncesi kanama eğilimi olmayan hastada risk azdır. Olan kanama bronş duvarından sızıntı şeklindedir. Kendiliğinden işlem günü durur. İşlem sırasında yoğun kanama görülürse hekim gerekli durdurma işini yapar.
Akciğer sönmesi: Sık yapılmayan uç biyopsi işleminde oluşabilir. Bazı büyük tümörlerde de olabilir. Çok ender görülür. Hafifse hasta oksijenle en az 24 saat yatırılarak izlenir. Şiddetli ise göğüs tüpü takılır.
Bronşektazi hava yollarının hasar görerek gereğinden fazla genişlemesi durumudur. Bronşektazi doğuştan olabileceği gibi daha sonradan geçirilen infeksiyonlar, yabancı cisimler yada akciğer harabiyetine yol açan diğer hastalıklar nedeniyle ortaya çıkabilir

Öksürük, bol balgam sık sık akciğer infeksiyonu geçirilmesi en önemli belirtileridir. Tedavi edilmeyen uzun süren enfeksiyonlara yol açması sık sık antibiyotik kullanılarak tedavi edilmesi bir yok farklı sorunda yol açabilir.
Sık öksürük ve bol balgam çıkartma yakınması olan hastayı gören göğüs hastalıkları uzmanı bronşektazinin tanısını once muayene sonra radyoloji ile koyabilir. En iyi inceleme bilgisayarlı tomografidir.
Bronşektazinin tamamen ortadan kalkması mümkün değildir. Bu yüzden bronşektazi olan hastalarda yaygınlık ve infeksiyon sıklığına göre değişen yaklaşımlar vardır. Cerrahide bir yöntem olarak kullanılır. Akciğerin kısıtlı bir alanında olan bronşektazi hastanın yakınmasıda çoksa çıkartılabilir. İki taraflı yani sağ ve sol akciğerde bronşektazi varsa ameliyat söz konusu değildir. Ameliyatın gerekli olmadığı hastalarda düzenli grip aşısı, zatürree aşıları hastaya uygulanan özel fizyoterapi yöntemleri ile hastanın daha az infeksiyon geçirmesi hastalığın yayılması engellenebilir
Bronşektazi tedavi edilmezse bu alan yani genişlemiş hava yolları gitgide artar bu hastada solunum yetmezliği ne yolaçar sık geçilen infeksiyonlar böbrekte amiloidoz adı vermiş olduğumuz bir böbrek yetersizligi durumuna yolaçan hastalığa neden olur.
Çocuk göğüs hastalıkları uzmanlarının ilgil alanine giren siliyer diskinizi sendromları denilen doğuştan olan bağışıklık bozukluklarıyla seyreden ciddi durumlar söz konusudur. Kistik fibroz bu durumlardan biridir.
Kızamık, Tüberküloz boğmaca başta olmak üzere birçok sık tekrarlayan infeksiyonda, zatürreelerde, mantar enfeksiyonlarında hava yolu harab olabilir. Hava yolunda genişlemenin temel neden budur. Bazı hastalarda akciğere kaçan gıda yada çeşitli silgi kalem arkası gibi maddeler hava yolu içerisinde belli olur orada yere gider ve burayı tıkar bu tıkanmanın arkasındaki bölgede bronşektazi gelişir.
Sakküler (kese gibi), silenderik ( tüp boru gibi) ve variköz ( varis gibi) olarak şekile göre sınıflanır. Sakküler tipde hasar ağırdır.
Bronş hasarı olduğundan burada biriken balgam sorun yaratır. Hastaya solunum fizyoterapisti yatış pozisyonları vererek balgamın ağıza doğru ilerlemesini sağlar. Flutter yada lung flute denilen aygıtların kullanımı ile hava yolu titreştirilir. Böylece yapışkan balgam hava yolu içine oradan ağıza ilerliyerek atılır.

Sigara, puro, nargile.. gibi tütün ürünü kullananlar, aile öyküsü olanların önde gelen risk gruplarında olduğunu unutmayalım.
Özellikle bu kişilerde aşağıdaki bulgular varsa bir Göğüs Hastalıkları uzmanına gitmekte yarar vardır.
-2 ayı geçen öksürük
-Balgamda kan gelmesi
-Göğüste, sırtta ağrı
-İlerleyen nefes darlığı
Ancak unutmayın!! kanser sinsidir. Bu yakınmalar olmadanda ortaya çıkıp ileri evreye kadar hiçbir belirtisi olmayabilir.
Tütün kullananların yıllık solunum testi kontrolü (KOAH için) akciğer röntgeni kontrolü kanser için yaptırmasında yarar vardır.
Kanser tanısı için kan alınarak yapılan incelemeler uzun yıllardır çalışılmaktadır. Ancak henüz uzlaşılmış bir yöntem bulunamamıştır.
Daha az ışın kullanıldığından ve tüm hastanelerde olduğundan bu gün dünyada düz akciğer filmi taramada kullanılmaktadır. Ancak bu filmler
bilgisayarlı tomografiler kadar detaylı sonuç vermezler. Çok düşük ışınla bilgisayarlı tomografi çeken cihazlar yaygınlaşmaktadır. Bu olanak varsa
3 boyutlu görüntüde verebildiğinden Bilgisayarlı düşük ışınlı tomografiler daha hassas görüntü verir.
Akciğer kanseri şüphesi varsa kesin tanı için biyopsi yapılmalıdır. Bu kitlenin yeri ve tipine göre yapılır. Kitle akciğerin merkezinde ise bronkoskopi,
dışına doğru ise dışarıdan iğne ile biyopsi yapılır. Bazı hastada ikisi birden gerekebilir.
Uyku bedenimizin ve zihnimizin dinlendiği, düzenlendiği, yenilendiği bizleri ertesi güne hazırlayan bir süreçtir. Uykudaki sorunlar yalnızca gecemizi değil, gündüzümüzü de olumsuz etkiler. Uykusuzluk, uykuya dalma güçlüğü, en ufak sesle uyanabilme, uyur-gezerlik, hareketli uyuma, uykuda bacak hareketleri, uykuda saptanan epilepsi, uyku krampları, narkolepsi, korkulu rüya görme, horlama, uykuda gelen nefes darlıkları uykuda rastlanabilecek 100'den fazla sorundan bazılarıdır.
Bu broşürde, uykuda solunum sorunlarının en sık rastlananı olan horlama ve uykuda nefes durması (uyku apnesi) ile ilgili soruları ve yanıtlarını bulacaksınız.
Normalde uyku ya da uyanıklıkta soluk alıp verirken duyulabilir bir ses olmaz. Ancak bazı insanlarda, uyku sırasında oldukça gürültülü soluk alıp verme söz konusudur. Bu soluk alıp verme sırasında üst hava yollarının çevresindeki dokuların titreşimi nedeni ile olur. Bu dokular arasında; küçük dil, büyük dil kökü, gırtlak kıkırdakları ve yutağın içini döşeyen dokuyu sayabiliriz. Normalde üst hava yolundan hava girip çıkarken bir sorun olmaz. Ancak üst hava yolunda bir daralma olursa ya da normal olmayan sarkık dokular varsa, (örneğin küçük dil) hava girip çıkarken buraları zorlar ve titreştirir. Böylece horlama meydana gelir.
Uykuda zaman zaman rastlanan horlamaya göre daha az şiddetli bir ses olan hırıltı (ya da ıslık sesi) duyulabilir. Alt hava yollarından gelen, astım ve KOAH'lı hastalarda duyulan bir sestir.
Horlama yeni doğan bebekten, ileri yaştaki insana dek herkeste olabilir. Özellikle yorgun günün gecesinde, alkol ve sigaranın çok kullanıldığı günün gecesinde üst hava yolunda daralma artacağından, sağlıklı insanda da horlama olabilir. Ancak bu olgularda horlama, haftada 1-2 günle kısıtlıdır. Yani yaşamında bir gece horlayan ya da bir gecede 5-10 dakika horlayan insanda horlama, bir sağlık sorunu olarak düşünülüp korkuya kapılmamalıdır.
Hekimlerin ilgi alanına giren horlama, olguyu ve yakınlarını rahatsız eden, haftanın yarısından fazlasında, gecenin önemli bir kısmında olan horlamadır.
Şişman insanlarda, çenesi küçük ya da geride olanlarda, geniz eti ve bademcikleri büyük olanlarda, üst hava yolunun genişliği az olduğundan, horlamaya daha sık rastlanır. Bazı insanlarda hiç bir sorun olmaksızın da horlama olabilir.
Horlamanın temelinde, üst hava yolundaki daralma eğilimi yatar. Sırt üstü uzanınca yer çekimi ve uykuda kaslarda ortaya çıkan gevşeme nedeni ile, çene ve üst hava yolundaki yumuşak dokular geriye doğru gider. Bu da üst hava yolunda daralmaya neden olur. Bu durum yan yatarken daha az daralma yaptığından, sırt üstü yatarken horlama daha fazla olacaktır.
Haftada 3-4 geceden fazla ve uykunun uzunca bir bölümünde horlama oluyorsa, horlamalar nefes durmaları ile kesiliyorsa, horlayan hasta sabah uykusunu alamadan kalkıyorsa, horlama bir sağlık sorunu oluşturuyor demektir. Horlama aileyi hatta bazı olgularda komşuları rahatsız edici boyutta olabilir. Bu durumda sorun, kişiyi ilgilendiren bir sağlık sorunu olmanın ötesinde, toplumsal bir boyut da kazanmış demektir.
Huzursuz bacak sendromunu toplumda çok yaygın görülmesi, hastalık olduğunun bilinmemesi ve yıllarca insanların bu hastalıkla tedavi edilmeden yaşaması nedeniyle en az bilinen en sık görülen hastalıklardan biridir diye tanımlayabiliriz.
Huzursuz Bacak Sendromu nedir?
Huzursuz bacak sendromunu toplumda çok yaygın görülmesi, hastalık olduğunun bilinmemesi ve yıllarca insanların bu hastalıkla tedavi edilmeden yaşaması nedeniyle en az bilinen en sık görülen hastalıklardan biridir diye tanımlayabiliriz.
Huzursuz bacak sendromu özellikle istirahat döneminde ortaya çıkan bacaklarda uyuşma, yanma, iğnelenme, karıncalanma, ağrı ve şiddetli hareket ettirme isteği gibi yakınmalarla kendini gösteren bir nörolojik hastalıktır. Yakınmalar genellikle akşam saatlerinde ve bacaklarda ortaya çıkarken, ilerleyen durumlarda gün içinde de uzun süreli oturma ve istirahat dönemlerinde ortaya çıkabilir. En önemli özelliklerden birisi yakınmaların hareketle azalmasıdır. Genellikle her iki bacağı etkilemekle birlikte az oranda ki hastalarda tek taraflı olabileceği akılda tutulmalıdır. Nadiren kollara, ellere ve vücudun diğer bölgelerine yayılabilir.
Bulguların sıklıkla akşam ve gece saatlerinde ortaya çıkması, bu hastalarda ciddi uyku bozukluklarına neden olmaktadır. Ayrıca huzursuz bacak sendromu olan hastaların %80’ine yakın bir bölümünde uyku sırasında belirli aralıklarla bacaklarda ortaya çıkan ve Periyodik Bacak Hareketleri (PBH) adını verdiğimiz istemsiz hareketler vardır. Bunlar da uykuyu etkileyen bir başka nedendir. Bazı hastalarda huzursuz bacak sendromu olmaksızın sadece PBH’leri ortaya çıkabilir.
Huzursuz bacak sendromu genellikle ileri yaşlarda ortaya çıkan bir hastalık olmakla birlikte tüm yaşlarda da görülebilir. Kadınlarda erkeklere göre yaklaşık iki kat daha fazla görülmektedir.
Değişik toplumlarda yapılan çalışmalarda huzursuz bacak sendromu görülme sıklığı %1-15 arasında değişmektedir. Ülkemizde yapılan çalışmaların sonuçlarına göre toplumumuzda ortalama görülme sıklığının %3-5 arasında olduğunu söyleyebiliriz. Bu oldukça yüksek bir orandır. Çok iyi bilinmediği ve tanısı konulmadığı için birçok hasta huzursuz bacak sendromu ile yaşamaktadır.
Huzursuz bacak sendromu tanısı konulması için bu hastalığa özel herhangi bir test bulunmamaktadır. Bu nedenle aşağıda belirtilen kriterlerin dikkatle sorgulanması gereklidir.
Hastaların büyük bir kısmında huzursuz bacak sendromu nedeni tam olarak bulunamaz. Nedeni bilinmeyen bu tip hastalara Primer Huzursuz Bacak Sendromu adı verilmektedir. Ancak bu hastaların ailelerinde benzer hastalar olup olmadığı araştırılmalıdır. Özellikle erken yaşta (40 yaşından önce) başlayan kişilerde genetik geçiş daha yüksek orandadır. Nedeni saptanamayan huzursuz bacak sendromu hastaların yaklaşık yarısında genetik geçiş olabilmektedir.
Bugün en çok kabul edilen görüşe göre huzursuz bacak sendromu beyinde dopamin isimli maddenin bazı özel bölgelerde azalması sonucu gelişmektedir.
Bunların dışında bazı bulantı, depresyon ve psikoz ilaçları ile bazı sara (fenitoin içerenler), soğuk algınlığı (antihistaminik içerenler), tansiyon ilaçları (nifedipin içerenler) huzursuz bacak sendromu bulgularını kötüleştirebilirler. Bu nedenle huzursuz bacak sendromu olan hastalar bu grup ilaçları doktoruna danışmadan kullanmamalıdır. Ayrıca kafein, alkol ve sigaranın yine huzursuz bacak sendromu bulgularını kötüleştirebileceği unutulmamalıdır.
Huzursuz bacak sendromu tedavi edilebilir. İlaç tedavisine başlamadan önce yapılabilecek bazı rahatlatıcı hareketler ve önlemler vardır. Bunlara hastaların dikkat etmesi oldukça önemlidir.
İlk yapılması gereken hastanın bazı basit önlemleri alması ve yatak odası düzenlemeleri.
Huzursuz bacak sendromu bulgularını kötüleştirebileceğini bildiğimiz alkol, sigara, kafein (çikolata, kafein içeren çay ve kahve gibi) maddelerden uzak durulması, özellikle akşam saatlerinde yatmadan önce bunlara dikkat edilmesi gerekir. Huzursuz bacak sendromu bulgularını artırabilecek ilaçları doktoruna danışmadan almaması, eğer başka bir nedene bağlı ortaya çıkmış ise önce bu nedenin tedavi edilmesi gereklidir.
Dopaminerjik (dopamin seviyesini artıran) ilaçlar: Bu ilaçlar genellikle Parkinson hastalığı tedavisinde kullanılmaktadır. Ancak ikisinin çok farklı hastalıklar olduğu unutulmamalıdır. Bunlar genel olarak dopamin agonistleri ve levodopa’dır. Dopaminerjik ilaçları tercih ederken özellikle uzun etkili olanların tercih edilmesi önemlidir. Bunların dışında benzodiazepinler, gabapentin ve karbamazepin gibi sara ilaçları, opioid ve narkotik grubu bazı ilaçlar da sonraki seçenekler içinde yer almaktadır.

Horlama için üst hava yollarında bir daralma eğiliminden söz etmiştik. Üst hava yolundaki bu daralma yalnızca horlamaya yol açmaz. Bazen hava yolundan geçen hava azalır ( hipopne), bazen de hava yolu tamamen tıkanır( apne ) ve hastada uykuda solunum sorunları ortaya çıkar.
Uykudaki bu sorunlar, akciğere taze hava gitmesini engellerler, insanın kanındaki oksijen azalır. Azalmış oksijen tüm organların yetersiz çalışmasına neden olur. Kalp, beyin, hormonal bezler.... yetersiz çalıştığında bir dizi sağlık sorunu ortaya çıkacaktır.
Uykuda soluk durması durumu saatte 5 den fazla ise bu soruna “uyku apne sendromu” denilir. Horlama, uykuda nefes durmasının başkaları tarafından gözlemlenmesi, uykudan boğulma hissi ile uyanma, gündüz uykululuk hali, dinlendirici uyku uyuyamama... uyku apne sendromunun bulgularıdır. Bunlardan biri yâda bir kaçı varsa bu hastalık düşünülmelidir.
Ülkemizde de son yıllarda yaygınlaşan uyku laboratuarları uyku ile ilgili sorunlara çare bulma amacındadır. Türkiye’de İstanbul, Ankara, İzmir, Antalya, Kayseri, Van ve Trabzon da uyku laboratuarları vardır. Diyarbakır, Edirne ve Sivas’da bu laboratuarların kurulma çalışmaları sürmektedir.
Polisomnografi uyku sırasında hastanın, beyin dalgalarının, solunum, kalp, kas ve göz fonksiyonlarının izlenmesi anlamına gelir. Uyku laboratuarlarında yapılır. Hasta bu inceleme için bir gece laboratuarda yatmalıdır. İnceleme sırasında ağrılı acılı bir işlem yoktur. Ölçüm aygıtları flasterlerle yapıştırılır.
Şişman insanlarda, çenesi küçük yada geride olanlarda, büyük bademciği yada geniz eti olanlarda bu hastalık daha sık görülür. Bu durumlar olmasada Uyku apne sendromu görülebileceği unutulmamalıdır.
Her iki durumda da tedaviye bir uyku uzmanı ile birlikte karar verilmelidir. Yanlızca horlama varsa uykuda nefes durmuyorsa tedavi küçük dilin ufaltılması yada ortadan kaldırılmasıdır. Bu tedaviyi Kulak Burun Boğaz uzmanı yapar. Ancak uyku çalışması olmaksızın uykuda nefesin durup durmadığı anlaşılamaz. Bu nedenle horlaması olan hastaların incelemesiz ameliyat edilmesi doğru değildir.
Tüm hastalara özel tedaviler yapmadan önce alkol ve sigarayı bırakmaları salık verilmelidir. Şişman hastaların kilo vermeleri için yardım edilmelidir.
Elbette, ancak uyku apne sendromunda bazı hormonal bozukluklar olmaktadır. Bu hastanın kilo vermesini zorlaştırır. Hastanın bir yandan apnesi tedavi edilirken diğer yanda zayıflaması için çaba göstermek en doğru olanıdır.
CPAP denilen aygıt burundan maske ile üst hava yoluna hafif basınçlı hava vermektedir. Böylece üst hava yolunun tıkanması engellenir ve tüm sorunlar çözülür.
Ülkemizde ve dünyada yapılan araştırmalarda CPAP kullanımda başarı % 70 dir. Bu aygıt kullanımının zor olmadığını gösterir. Aygıtın yarattığı ve kolayca çözümlenemeyecek sorun yoktur.
Tedavisiz hastalarda zamanla hipertansiyon, çarpıntı, unutkanlık, işte ve okulda başarısızlık ortaya çıkar. Bu hastaların trafik kazası yapma olasılığı diğer insanlardan 5-7 kat fazladır. Ağır hastalarda uykuda ani ölüm olduğu bildirilmiştir.
Olur. Çocuklarda en çok neden geniz eti ve bademcikler buna neden olur. Çocukta okulda başarısızlık, uykuda ensenin terlemesi, hırçınlık bu sorunların en çok rastlanan gündüz bulgularıdır. Çocukta tedavi genelde geniz eti ve bademciğin alınması ile yapılır. Bu yaş grubunda cerrahi tedavi yetişkinlerden başarılıdır.

Horlama uykuda daralmış olan üst solunum yolundan solunum esnasında havanın geçerken oluşturduğu türbülans nedeniyle üst solunum yolu dokularının titreşimi ile oluşan sestir.
Horlama bir hastalıktır. Horlaması olduğu halde uyku apnesi olmayan kişilerde kalp hastalıkları başta olmak üzere pek çok hastalıkların görülme sıklığı daha fazladır. Horlamanın kendisi tek başına bir hastalık olmakla birlikte horlama aynı zamanda uyku apne sendromunun en önemli bulgularından biridir. Yani horlama hem bir hastalık hem de önemli bir hastalığın belirtisidir.
Horlama hastaları öncelikle beraberinde uyku apne sendromu varlığı açısından dikkatlice araştırılmalı ve gerekiyorsa hasta uyku testinden geçirilmelidir. Hastada uyku apne sendromu saptanmaz ise horlama genellikle KBB uzmanları tarafından uygulanan bazı cerrahi girişimler, radyofrekans gibi yöntemler ve diş hekimleri tarafından uygulanan ağız içi aparatlar ile tedavi edilebilirler.
Uyku apne sendromu uyku sırasında tekrarlayan üst solunum yolundaki daralmalar veya tıkanmalar nedeniyle soluk almada kesilmeler ve bu durumun neden olduğu gündüz aşırı uyku isteği gibi klinik sorunlar ile karakterli bir sendromdur.
Uyku apne sendromu dünya genelinde %3 oranında görülmektedir. 50 yaşın üstündeki fazla kilolu erkeklerde %50 civarında görülmektedir.
Uyku apne sendromunun tüm ölümlerin yaklaşık yarısından sorumlu olan hastalıkların gelişiminden sorumlu olduğu düşünülmektedir. Uyku apne sendromunun olumsuz etkilerini erken dönem ve geç dönem etkiler olarak inceleyebiliriz. Erken dönemde genellikle kalitesiz ve yetersiz uykuya bağlı olarak ortaya çıkan gündüz aşırı uyku ihtiyacı, unutkanlık, dikkatsizlik, sinirlilik, depresyon ve kolay kaza yapma gibi sorunlardır. Kazalar sadece trafikte değil aynı zamanda evde ve iş yerinde de oluşabilir. Dünyada uyku apneliler normal insanlara göre 3-7 kat daha fazla trafik kazası yapmaktadırlar. Geç dönemde ise en önemli olumsuz etkileri damar sistemi üzerinedir. Özellikle kalp ve beyin damarları en çok etkilenen damarlardandır. Uyku apne sendromu kalp krizlerinden %35-65 oranında sorumludur. Uyku apne sendromlu hastaların önemli kısmında hipertansiyon (yüksek tansiyon) gelişir. Uyku apne sendromlu hastalarda gece ve sabah migren atakları görülebilir. Hem erkeklerde hem de kadınlarda cinsel isteksizlik oluşabilir ve erkeklerde impotans (iktidarsızlık) görülebilir. Kısacası uyku apne sendromu tedavi edilmediği taktirde hemen her organ ve sisteme ait sorunların ortaya çıkmasına neden olabilir.
Uyku apnesi erkeklerde, şişmanlarda ve yaş ile birlikte daha sık görülmekle birlikte kadınlarda, zayıf kişilerde ve çocuklarda da görülmektedir. Özellikle kısa ve kalın boyunlu kişilerde, alt çenesi daha küçük ve geride olanlarda, bademcikleri büyük, dili büyük olanlarda daha sık görülür. Ayrıca sinüziti ve reflüsü olan hastalarda da apne görülme sıklığı artmıştır.
Kendinizde uyku apne sendromundan şüpheleniyorsanız en kısa zamanda bir uyku merkezine başvurarak bu konuda uzman hekimler tarafından kontrolden geçerek ihtiyaç duyulur ise uyku testinden geçerek uyku apnesi yönünden test olmanız gerekir.
Fazla kilosu olan hastaların zayıflaması, sigara kullananların sigarayı bırakmaları, uyumadan en fazla 4 saat önce alkol almayı bırakmaları, uyku verici ve antihistaminik içeren ilaçların kullanımının tekrar gözden geçirilmesi, sırtüstü yatınca hastalığı ortaya çıkan hastalarda sırt üstü yatmanın engellenmesi gibi önlemlerin alınması gerekir. Ancak bu önerilerin alınması genellikle hastalığın iyileşmesi için yeterli olmamakla birlikte tedavinin kolaylaşmasını sağlar.
CPAP burun ve/veya ağızdan pozitif basınçlı hava vererek üst solunum yolunun kollabe olmasını engelleme amacıyla kullanılan bir cihazdır. Tüm dünyada milyonlarca uyku apne hastası bu cihazları konforlu bir şekilde kullanmaktadırlar.
CPAP sabit basınç üretmeyi amaçlayan bir cihazdır. Cihaz içindeki tribün sayesinde pozitif basınç üretir, basınç sensörleri sayesinde hortum ve maske içindeki basıncı ölçerek sabit basınç sağlamak amacıyla hortum içinde basınçlı hava verir. Bir maske aracılığı ile basınçlı hava hastanın üst solunum yoluna uygulanır.
CPAP uyku apne sendromu nedeniyle bozulmuş olan vücut fonksiyonlarının tümünü düzeltir. CPAP ayrıca uyku apne sendromu olmasa bile kalp yetmezliği olan hastalarda kalp yetmezliği tedavisinde ve hamilelerde preeklampsi tedavisinde kullanılabilmektedir.
CPAP maskesi hastalar açısından tedavinin en önemli unsurudur. Çünkü CPAP tedavisinin en önemli sorunu hastaların tedaviyi kabul etmesi ve tedaviyi sürdürmesi konusundadır. CPAP tedavisi ile ilgili en sık karşılaşılan sorun CPAP maskesi ile ilgilidir. İyi seçilmiş ve hastanın rahatlıkla kullandığı bir maske CPAP tedavisinin hasta tarafından kabul edilebilirliğini ve sürdürülebilirliğini artırır.
Üst solunum yoluna uygulanan hava basıncı tedavisi ile hava akım hızında artış burunun solunan havayı nemlendirme fonksiyonunu tam olarak yapmasını engeller. Burun ve boğazda kuruma ve soğuğa bağlı sorunlar ısıtıcı nemlendirici aparatlar ile düzeltilebilir. Uyku apne sendromu nedeniyle CPAP tedavisi kullanacak tüm hastalara ısıtıcı nemlendirici fonksiyonu kullanması önerilmektedir.
Uyku apne sendromu nedeniyle uygulanan cerrahi girişimler çeşitlilik arz etmektedir. Burun cerrahileri, küçük dil ve yumuşak damağa yönelik girişimler, dile yönelik girişimler ve bu bölgelere radyofrekans uygulamaları ilgili kulak burun boğaz hekimleri tarafından uygulanmaktadır.
Seçilmiş hastalarda horlama ve uyku apnesi tedavisinde kullanılan ve genellikle alt çeneyi veya dili ön tarafta tutmayı amaçlayan aparatlardır. Diş hekimleri tarafından yapılmaktadır.
